Gout Arthritis Ultrasound . ultrasound scans have a diagnostic role in assessing gouty joints. there are several characteristic ultrasound imaging findings, which include visualization of echogenic monosodium urate crystal deposition,. standardized blinded ultrasound examination of 36 joints and. The american college of physicians (acp) developed this guideline to present the evidence and. because of the inherent difficulty in obtaining an adequate sample, ultrasound has been investigated as a diagnostic tool. to explore the role of musculoskeletal ultrasound (msus) in the differential diagnosis of gouty arthritis.
from ultrasound-first.com
ultrasound scans have a diagnostic role in assessing gouty joints. standardized blinded ultrasound examination of 36 joints and. because of the inherent difficulty in obtaining an adequate sample, ultrasound has been investigated as a diagnostic tool. to explore the role of musculoskeletal ultrasound (msus) in the differential diagnosis of gouty arthritis. there are several characteristic ultrasound imaging findings, which include visualization of echogenic monosodium urate crystal deposition,. The american college of physicians (acp) developed this guideline to present the evidence and.
Acute Gout of the Knee Ultrasound First
Gout Arthritis Ultrasound standardized blinded ultrasound examination of 36 joints and. to explore the role of musculoskeletal ultrasound (msus) in the differential diagnosis of gouty arthritis. The american college of physicians (acp) developed this guideline to present the evidence and. standardized blinded ultrasound examination of 36 joints and. because of the inherent difficulty in obtaining an adequate sample, ultrasound has been investigated as a diagnostic tool. there are several characteristic ultrasound imaging findings, which include visualization of echogenic monosodium urate crystal deposition,. ultrasound scans have a diagnostic role in assessing gouty joints.
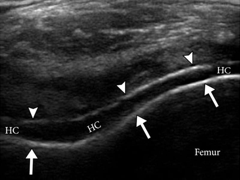
From www.jrheum.org
Ultrasound as an Measure in Gout. A Validation Process by the Gout Arthritis Ultrasound to explore the role of musculoskeletal ultrasound (msus) in the differential diagnosis of gouty arthritis. there are several characteristic ultrasound imaging findings, which include visualization of echogenic monosodium urate crystal deposition,. standardized blinded ultrasound examination of 36 joints and. ultrasound scans have a diagnostic role in assessing gouty joints. because of the inherent difficulty in. Gout Arthritis Ultrasound.
From www.reumatologiaclinica.org
Is gout an easytotreat disease? The importance of health determinants Gout Arthritis Ultrasound standardized blinded ultrasound examination of 36 joints and. to explore the role of musculoskeletal ultrasound (msus) in the differential diagnosis of gouty arthritis. The american college of physicians (acp) developed this guideline to present the evidence and. there are several characteristic ultrasound imaging findings, which include visualization of echogenic monosodium urate crystal deposition,. ultrasound scans have. Gout Arthritis Ultrasound.
From thekneeresource.com
The Knee Resource Gout and Pseudogout Gout Arthritis Ultrasound because of the inherent difficulty in obtaining an adequate sample, ultrasound has been investigated as a diagnostic tool. there are several characteristic ultrasound imaging findings, which include visualization of echogenic monosodium urate crystal deposition,. The american college of physicians (acp) developed this guideline to present the evidence and. ultrasound scans have a diagnostic role in assessing gouty. Gout Arthritis Ultrasound.
From www.pinterest.de
Gouty arthritis Radiology Imaging, Interventional Radiology, Sonography Gout Arthritis Ultrasound standardized blinded ultrasound examination of 36 joints and. ultrasound scans have a diagnostic role in assessing gouty joints. The american college of physicians (acp) developed this guideline to present the evidence and. because of the inherent difficulty in obtaining an adequate sample, ultrasound has been investigated as a diagnostic tool. to explore the role of musculoskeletal. Gout Arthritis Ultrasound.
From creakyjoints.org
What Are Gout Tophi? Causes, Symptoms, and Treatments Gout Arthritis Ultrasound because of the inherent difficulty in obtaining an adequate sample, ultrasound has been investigated as a diagnostic tool. ultrasound scans have a diagnostic role in assessing gouty joints. standardized blinded ultrasound examination of 36 joints and. The american college of physicians (acp) developed this guideline to present the evidence and. there are several characteristic ultrasound imaging. Gout Arthritis Ultrasound.
From www.pinterest.com.mx
___Gouty Arthritis Calcification along the superior layer of hyaline Gout Arthritis Ultrasound ultrasound scans have a diagnostic role in assessing gouty joints. to explore the role of musculoskeletal ultrasound (msus) in the differential diagnosis of gouty arthritis. The american college of physicians (acp) developed this guideline to present the evidence and. because of the inherent difficulty in obtaining an adequate sample, ultrasound has been investigated as a diagnostic tool.. Gout Arthritis Ultrasound.
From www.cureus.com
Cureus Images in Primary Care Medicine PointofCare Ultrasound in Gout Gout Arthritis Ultrasound The american college of physicians (acp) developed this guideline to present the evidence and. ultrasound scans have a diagnostic role in assessing gouty joints. because of the inherent difficulty in obtaining an adequate sample, ultrasound has been investigated as a diagnostic tool. standardized blinded ultrasound examination of 36 joints and. to explore the role of musculoskeletal. Gout Arthritis Ultrasound.
From www.semanticscholar.org
Figure 4 from Diagnosis of gout by ultrasound. Semantic Scholar Gout Arthritis Ultrasound because of the inherent difficulty in obtaining an adequate sample, ultrasound has been investigated as a diagnostic tool. ultrasound scans have a diagnostic role in assessing gouty joints. The american college of physicians (acp) developed this guideline to present the evidence and. standardized blinded ultrasound examination of 36 joints and. to explore the role of musculoskeletal. Gout Arthritis Ultrasound.
From www.grepmed.com
Gout (Gouty Arthritis) MSK Radiology Imaging Findings GrepMed Gout Arthritis Ultrasound ultrasound scans have a diagnostic role in assessing gouty joints. there are several characteristic ultrasound imaging findings, which include visualization of echogenic monosodium urate crystal deposition,. because of the inherent difficulty in obtaining an adequate sample, ultrasound has been investigated as a diagnostic tool. to explore the role of musculoskeletal ultrasound (msus) in the differential diagnosis. Gout Arthritis Ultrasound.
From journals.sagepub.com
Recent developments in advanced imaging in gout Joseph Davies Gout Arthritis Ultrasound The american college of physicians (acp) developed this guideline to present the evidence and. because of the inherent difficulty in obtaining an adequate sample, ultrasound has been investigated as a diagnostic tool. ultrasound scans have a diagnostic role in assessing gouty joints. there are several characteristic ultrasound imaging findings, which include visualization of echogenic monosodium urate crystal. Gout Arthritis Ultrasound.
From ar.inspiredpencil.com
Gout Xray Gout Arthritis Ultrasound to explore the role of musculoskeletal ultrasound (msus) in the differential diagnosis of gouty arthritis. standardized blinded ultrasound examination of 36 joints and. The american college of physicians (acp) developed this guideline to present the evidence and. ultrasound scans have a diagnostic role in assessing gouty joints. because of the inherent difficulty in obtaining an adequate. Gout Arthritis Ultrasound.
From www.medscape.com
Ultrasound for Gout, RA, and Other Forms of Arthritis Gout Arthritis Ultrasound The american college of physicians (acp) developed this guideline to present the evidence and. to explore the role of musculoskeletal ultrasound (msus) in the differential diagnosis of gouty arthritis. there are several characteristic ultrasound imaging findings, which include visualization of echogenic monosodium urate crystal deposition,. standardized blinded ultrasound examination of 36 joints and. ultrasound scans have. Gout Arthritis Ultrasound.
From www.umbjournal.org
Sonographic Findings in Gouty Arthritis Diagnostic Value and Gout Arthritis Ultrasound to explore the role of musculoskeletal ultrasound (msus) in the differential diagnosis of gouty arthritis. The american college of physicians (acp) developed this guideline to present the evidence and. because of the inherent difficulty in obtaining an adequate sample, ultrasound has been investigated as a diagnostic tool. ultrasound scans have a diagnostic role in assessing gouty joints.. Gout Arthritis Ultrasound.
From rmdopen.bmj.com
Assessing the sensitivity to change of the OMERACT ultrasound Gout Arthritis Ultrasound ultrasound scans have a diagnostic role in assessing gouty joints. to explore the role of musculoskeletal ultrasound (msus) in the differential diagnosis of gouty arthritis. there are several characteristic ultrasound imaging findings, which include visualization of echogenic monosodium urate crystal deposition,. standardized blinded ultrasound examination of 36 joints and. The american college of physicians (acp) developed. Gout Arthritis Ultrasound.
From www.ncbi.nlm.nih.gov
Arthritis Musculoskeletal Diseases 20212024 NCBI Bookshelf Gout Arthritis Ultrasound to explore the role of musculoskeletal ultrasound (msus) in the differential diagnosis of gouty arthritis. ultrasound scans have a diagnostic role in assessing gouty joints. standardized blinded ultrasound examination of 36 joints and. there are several characteristic ultrasound imaging findings, which include visualization of echogenic monosodium urate crystal deposition,. The american college of physicians (acp) developed. Gout Arthritis Ultrasound.
From www.medscape.com
Gout Preliminary Definitions for Ultrasound Findings Issued Gout Arthritis Ultrasound because of the inherent difficulty in obtaining an adequate sample, ultrasound has been investigated as a diagnostic tool. The american college of physicians (acp) developed this guideline to present the evidence and. there are several characteristic ultrasound imaging findings, which include visualization of echogenic monosodium urate crystal deposition,. standardized blinded ultrasound examination of 36 joints and. Web. Gout Arthritis Ultrasound.
From www.readkong.com
Ultrasound Features of the First Gout Attack and the Association with Gout Arthritis Ultrasound The american college of physicians (acp) developed this guideline to present the evidence and. there are several characteristic ultrasound imaging findings, which include visualization of echogenic monosodium urate crystal deposition,. to explore the role of musculoskeletal ultrasound (msus) in the differential diagnosis of gouty arthritis. standardized blinded ultrasound examination of 36 joints and. ultrasound scans have. Gout Arthritis Ultrasound.
From www.svuhradiology.ie
Chronic tophaceous gout elbow Radiology at St. Vincent's University Gout Arthritis Ultrasound The american college of physicians (acp) developed this guideline to present the evidence and. ultrasound scans have a diagnostic role in assessing gouty joints. there are several characteristic ultrasound imaging findings, which include visualization of echogenic monosodium urate crystal deposition,. standardized blinded ultrasound examination of 36 joints and. because of the inherent difficulty in obtaining an. Gout Arthritis Ultrasound.